Jeanne Brugère-Picoux et Matthieu Henry
Jeanne Brugère-Picoux Professeur honoraire de pathologie médicale du bétail et des animaux de basse-cour (Ecole nationale vétérinaire d’Alfort), membre de l’Académie nationale de médecine, présidente honoraire de l’Académie vétérinaire de France et Matthieu Henry, Dr Vétérinaire, Clinique Vétérinaire HENRY, 55150 Mangiennes
Depuis l’apparition pour la première fois en France de la dermatose nodulaire contagieuse (DNC) caractérisée par des lésions cutanées survenant rapidement après une hyperthermie initiale, les moyens mis en œuvre pour limiter la propagation de cette maladie ont révélé leur efficacité en Savoie et Haute Savoie.
Néanmoins les trois foyers observés ultérieurement dans l’Ain et dans le Rhône témoignent que nous n’étions pas à l’abri d’un déplacement illégal d’animaux infectés. Ces nouveaux cas hors des foyers qui étaient circonscrits et les conséquences de l’apparition d’une DNC dans un élevage peuvent expliquer dans ce contexte l’inquiétude des éleveurs dès l’apparition de lésions cutanées d’étiologie incertaine dans leur troupeau, même s’il s’agit de zones géographiques indemnes loin des foyers confirmés et en l’absence de tout autre symptôme pouvant justifier un appel du praticien. La figure 1 présentant une augmentation très significative des cas de suspicions négatives depuis le 79ème foyer lyonnais témoigne de cette inquiétude.

Figure 1. Dermatose Nodulaire Contagieuse Bovine (DNCB). Évolution hebdomadaire du nombre de suspicions de DNC et des foyers en France depuis le 29/06/2025. Situation Sanitaire au 1er octobre 2025 (https://agriculture.gouv.fr/dermatose-nodulaire-contagieuse-des-bovins-dnc-point-de-situation)
Diagnostic d’un cas de PDNC en Meuse
Ce fut le cas d’une suspicion de DNC déclarée début septembre dernier dans un élevage de 700 vaches laitières à plus de 450 km du foyer lyonnais dans la région de Verdun avec les commémoratifs suivants : une hyperthermie transitoire (39 à 40°C) suivie de l’apparition de plusieurs nodules cutanés répartis sur tout le corps en l’absence de tout autre symptôme pouvant évoquer la DNC : appétit conservé ; pas de diminution de la production laitière, pas de mortalité, une hypertrophie ganglionnaire surtout observée en fin d’évolution. Certaines des lésions cutanées présentaient une zone centrale intacte, entourée d’un anneau circulaire donnant un aspect « à l’emporte-pièce » formant une surface surélevée et pratiquement plane. La préhension des zones cutanées affectées permettait de constater un léger épaississement sans noter réellement la présence d’un nodule. Ces lésions pouvaient être variées : œdème cutané évoquant des papules parfois importantes du fait de leur coalescence formant des lésions irrégulières. (Figures 2a et 2b), petites zones arrondies de couleur foncé très visibles (Figure 3). En fin d’évolution elles sont faciles à arracher en laissant place à une zone cutanée cicatricielle glabre témoignant de l’absence d’une lésion ulcérative (Figures 4a et 4b). L’évolution de ces lésions vers la guérison sans traitement est observée en 3 à 4 semaines (Figures 4a et 4b).


Lésions de PDNC avec œdèmes cutanés évoquant des papules parfois cohalescentes (Figure 2a). Parfois il s’agit de zones très arrondies très distinctes (Figure 2b) pouvant évoquer une teigne (photos : Matthieu Henry)

Figure 3 : Lésions cutanées variées de PDNC. Certaines se détachent en laissant place à des zones arrondies sombres et glabres sur la peau de l’animal (photo : Matthieu Henry)


En fin d’évolution l’arrachage de la lésion (4a) ne provoque aucune douleur chez l’animal, laissant place à une zone cutanée cicatricielle glabre de 1,25 à 2,5 cm de diamètre (4b) (photos : Matthieu Henry)


Chez cette vache on peut observer l’évolution favorable de l’affection cutanée en l’espace de 3 semaines (photos : Matthieu Henry)

Figure 6 : Chez cette vache on peut observer une hypertrophie des nœuds lymphatiques le long de l’encolure (photo : Matthieu Henry)
Le diagnostic d’une PDNC est rarement effectué au laboratoire en pratique courante
Bien qu’il ne s’agissait pas de nodules aussi volumineux et arrondis que ceux signalés dans la DNC, sans papulo-vésiculo-pustules avec une croûte spécifique aux poxvirus, et malgré l’aspect bénin de cette infection, il était justifié de lever tout doute de suspicion de DNC car il existe des formes atténuées de DNC.
La recherche de la DNC par PCR s’étant révélé négative, de même que celle d’une teigne où les lésions sont parfois similaires, des examens histologiques sur des prélèvements cutanés réalisés à l’école nationale vétérinaire de Toulouse (Pr Schelcher) ont permis de confirmer la suspicion d’une PDNC, herpèsvirose due au BoHV-2 provoquant des lésions cutanées plus superficielles que la DNC avec des symptômes discrets et d’évolution plus courte vers la guérison.
Il faut noter que seul le contexte actuel de la DNC, maladie exotique nouvelle et très contagieuse en France pouvait justifier d’envisager un recours au laboratoire pour confirmer une PDNC observée sur le terrain et dont l’aspect bénin ne s’accompagne pas obligatoirement d’un appel de l’éleveur (lire l’encadré).
Le diagnostic différentiel de la PDNC concerne donc principalement à éliminer une suspicion de DNC voire de teigne. D’autres affections cutanées moins similaires peuvent être aussi envisagées dans ce diagnostic différentiel, la dermatophilose, la leucose cutanée, deux parapoxviroses (stomatite papuleuse bovine et pseudocowpox), le cowpox, l’ehrlichiose, la démodécie, la besnoitiose, l’hypodermose, la photosensibilisation, une urticaire, une tuberculose cutanée et l’onchocerchose.


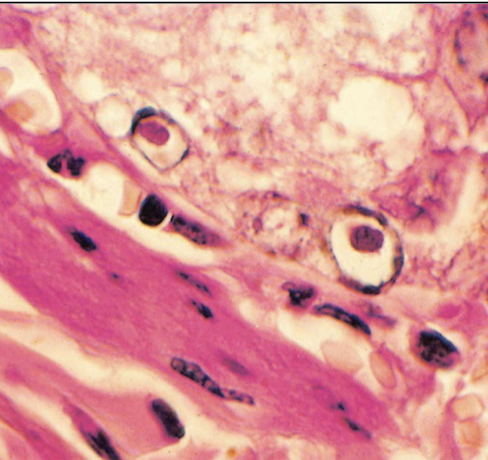
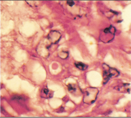
A l’examen histologique des lésions cutanées on peut différencier l’infection par le BoHV-2 caractérisée par la présence de corps d’inclusion intranucléaires par opposition avec les inclusions intracytoplasmiques classiquement observées dans avec le Capripoxvirus de la DNC (Coetzer JAW & Dr. Eeva Tuppurainen E. Lumpy skin disease)
Conclusion
La PDNC est généralement une maladie bénigne pouvant passer inaperçue et qui évolue vers une guérison sans séquelle. Elle semble rare mais peut-être est-elle sous-estimée du fait de l’absence de symptômes inquiétants pour l’éleveur. Certainement le contexte actuel du risque potentiel d’une DNC lors de l’apparition de lésions cutanées dans un élevage bovin justifiera l’appel de l’éleveur souhaitant un diagnostic différentiel rassurant. Enfin, à la différence de la DNC, cette herpèsvirose peut réapparaître dans l’élevage du fait de la présence de porteurs latents.
Infection par l’herpèsvirus BoHV-2 chez les bovins
L’origine herpétique de la thélite ulcérative a été démontrée en Angleterre en 19631. Ce n’est que plus tard que l’on observa que l’inoculation intraveineuse de cet herpèsvirus pouvait provoquer une infection généralisée similaire à une maladie décrite en Afrique du sud sous le nom de pseudo dermatose nodulaire contagieuse (PDNC) alors rapportée à un virus dénommé Allerton dont l’effet cytopathogène s’accompagnait d’une évolution bénigne par comparaison avec la DNC2. Cette PDNC, considérée comme rare, était vraisemblablement sous-estimée du fait de son évolution bénigne.
L’infection par le BoHV-2 est associée à deux syndromes cliniques distincts chez les bovins : une forme mammaire associée à des ulcères localisés et douloureux au niveau des trayons des vaches laitières d’où le nom de thélite (mammillite) herpétique ulcérative et une forme généralisée (PDNC), caractérisée par un nombre variable de lésions cutanées superficielles circonscrites disséminées sur tout le corps et d’évolution bénigne.
Le BoHV-2 connaît une répartition mondiale et serait transmis par des stomoxes. Présent à l’état latent chez l’animal, il peut être réactivé lors d’un stress (souvent dans les deux semaines après le part, en début de lactation…). Dans la forme généralisée l’évolution est bénigne et évoque plutôt la teigne mais avec des lésions surélevées de 1 à 2 mm et des gonflements circulaires (de 0,5 à 2 cm de diamètre). Ces lésions forment une sorte de croûte très facile à retirer, voire éliminées par frottement. La guérison est spontanée sans cicatrice sans nécessiter un traitement en l’absence de surinfection cutanée.
Certains bovins séropositifs pour le BoHV-2 peuvent devenir porteurs latents du virus suite à l’infection. La recrudescence du virus provoquée par le stress chez les animaux infectés latents représente une source de BoHV-2 transmis par des insectes hématophages vecteurs aux bovins sensibles dans le troupeau.
Diagnostic au laboratoire
Mise en évidence du virus BoHV-2 ou de son ADN.
Pour isoler le virus le prélèvement cutané doit être précoce dès la première semaine d’apparition de la PDNC (avant l’apparition des anticorps neutralisants) mais l’ADN viral peut être identifié par PCR3. Cependant il faut noter que la surveillance de la DNC en Italie a permis d’observer des cas de co-infections virales par des virus épithéliotropes (parapoxvirus zoonotique, papillomavirus bovin et BoHV-2) dans des lésions cutanées chez des bovins4.
Examens sérologiques
Les enquêtes sérologiques réalisées ont permis de démontrer que 10 à 30 % des bovins des troupeaux ayant des antécédents d’affections cutanées pouvaient être séropositifsmais un pourcentage égal de bovins de troupeaux sans antécédents d’affections cutanées peuvent être également séropositifs au BoHV-23.
Examen anatomo-pathologique
A l’examen histologique la présence de corps d’inclusion intranucléaires est caractéristique de l’herpèsvirose, contrairement au capripoxvirus de la DNC associé à des inclusions intracytoplasmiques (figures 7a et 7b).
Les auteurs remercient le Pr François Schelcher pour la confirmation par un examen histologique de notre suspicion de PDNC et les enseignants de nos écoles (Raphael Gattéo à Nantes et Hugues Guyot à Liège) pour l’intérêt qu’ils ont monté à ce cas de suspicion.
Bibliographie

